【试用装开放中】Pick您最需要的基质胶,ACRO助您打造三维精彩世界!-自主发布-资讯-生物在线

【试用装开放中】Pick您最需要的基质胶,ACRO助您打造三维精彩世界!

作者:北京百普赛斯生物科技股份有限公司 2023-05-08T14:16 (访问量:9066)

与传统的2D细胞培养相比,3D细胞培养具有更为丰富的细胞组成和与体内更为接近的生理功能,因此被广泛用于生物学功能研究、器官发育、疾病模拟和药物筛选等领域,越来越受到国内外科研界和工业界的一致关注。作为基底膜聚合形成的连续的细胞外基质,基质胶是组织的重要组成部分,可形成细胞生长和细胞层的支架,同时还影响多种细胞生物学过程,如粘附、迁移、增殖和分化。

通过Acro Certify,ACROBiosystems百普赛斯现可为您提供广泛的基质胶产品选择,包括标准型、低因子、高浓度、干细胞培养、类器官培养的不同版本,满足您的特定应用需求!

图片

货号 产品类型 产品描述
AC-M082704 标准型

Matrigengel Matrix (Acro Certified)

AC-M082706

Matrigengel Matrix (Phenol Red Free) (Acro Certified)

AC-M082701 低因子

Matrigengel Matrix (GFR) (Acro Certified)

AC-M082703

Matrigengel Matrix (GFR Phenol Red Free) (Acro Certified)

AC-M082724 高浓度

Matrigengel Matrix (HC) (Acro Certified)

AC-M082726

Matrigengel Matrix (HC Phenol Red Free) (Acro Certified)

AC-M082721

Matrigengel Matrix (HC GFR) (Acro Certified)

AC-M082723

Matrigengel Matrix (HC GFR Phenol Red Free) (Acro Certified)

AC-M082777 干细胞培养

Matrigengel Matrix IPSC Level (Acro Certified)

AC-M082755 类器官培养

Matrigengel Matrix Organoid Culture (Acro Certified)

*每款产品都有5mL和10mL规格供您选择~

产品优势

细胞功能验证:对每个生产批次建立严格的应用质量控制分析,包括类器官培养、ES细胞培养、体内成瘤、血管生成和肿瘤细胞侵袭等。

高批间一致性:严格的生产控制和管理系统,包括蛋白浓度、内毒素、病毒和细菌检测,以确保产品的一致性和质量。

稳定、长期供应:大规模的生产能力与ACROBiosystems百普赛斯的全球供应链相结合,稳定了全球的供应。

节省预算:批量定价,价格更实惠,性价比更高,还可获得类器官培养用细胞因子的优惠折扣,以全面满足您的研究需求。

产品展示

应用数据1 – 干细胞培养

图片

Matrigengel (Cat. No. AC-M082777) 1:100 dilution coating the pates, supports stable passage of EPSCs (extended pluripotent stem cells) from P1 to P4.

应用数据2 – 类器官培养

图片

Human tumor organoids (colorectal cancer organoids, gastric cancer organoids) can grow well in greater than 70% Matrigengel (Cat. No. AC-M082755).

图片

Human tumor organoids (breast cancer organoids, hepatocellular carcinoma organoids) can grow well in greater than 70% Matrigengel (Cat. No. AC-M082703).

图片

Mouse intestinal organoid, liver ductal organoid, airway organoid can also grow well in greater than 70% Matrigengel (Cat. No. AC-M082703).

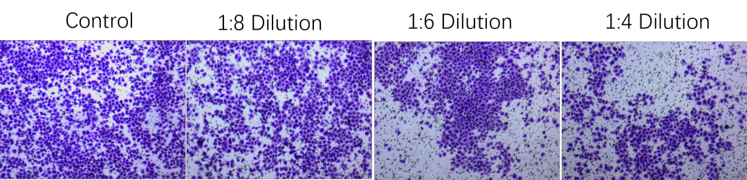
应用数据3 –肿瘤细胞侵袭

图片

The invasion effect of 5×104 SGC-7901 was detected for 24 hours at different concentrations of Matrigengel (Cat. No. AC-M082704) and it was clear that the number of successfully invaded cells decreased significantly as the concentration of matrigel increased.

图片

The invasion effect of 5×104 SGC-7901 was detected for 24 hours at different concentrations of Matrigengel (Cat. No. AC-M082706) and it was clear that the number of successfully invaded cells decreased significantly as the concentration of matrigel increased.

应用数据4 –体内成瘤实验

图片

Matrigengel (Cat. No. AC-M082724) significantly promote the proliferation of tumor cells under the skin in nude mice.

应用数据5 –血管成瘤实验

图片

The complete medium and HUVECs suspension (2×104 /well in 96 wells) can form the excellent tubular structure on 100% and 67% Matrigengel Matrix (Cat. No. AC-M082704) at 4h, which can be quickly performed for subsequent staining and angiogenesis analysis.

图片

The complete medium and HUVECs suspension (2×104 /well in 96 wells) can form the excellent tubular structure on 100% and 67% Matrigengel Matrix (Cat. No. AC-M082706) at 4h, which can be quickly performed for subsequent staining and angiogenesis analysis.

图片

VEGF and Heparin could promote the in vivo angiogenesis through in vivo Matrigengel plug assay. (Cat. No. AC-M082723).

往期精彩:类器官3D细胞培养,三维精彩世界!

福利来袭

基质胶试用装活动开放中~

还在为找不到合适的基质胶烦恼?

快来试试ACRO Certify的基质胶产品吧!

图片

★★★相关活动推荐★★★

【基质胶+细胞因子】惊喜优惠

即日起,单笔基质胶订单额满5万元,即可以2万元购买5mg常用类器官培养细胞因子(EGF、Noggin、R-spondin 1、FGF-10),快来点击下方按钮参与吧!

如果对活动有任何不清楚的地方,欢迎通过以下方式联系我们。

官网:www.acrobiosystems.cn
电话:18811625790
微信:acroastrid(备注:基质胶)
图片

(部分图片来源于网络,如有侵权,请随时提醒删除)

北京百普赛斯生物科技股份有限公司 商家主页

地 址: 北京经济技术开发区宏达北路8号5号楼4层

联系人: 占女士

电 话: 400-682-2521

传 真:

Email:order.cn@acrobiosystems.com

相关咨询
ADVERTISEMENT