【IHC精准检测】——筛选获益人群关键抗体:Claudin 18.2-自主发布-资讯-生物在线

【IHC精准检测】——筛选获益人群关键抗体:Claudin 18.2

作者:北京百普赛斯生物科技股份有限公司 2023-05-18T15:22 (访问量:11126)

热门靶点Claudin 18.2已经在多个研究中被证明在胃癌、胰腺癌等治疗中具有极大的潜力,药物研发领域也有单抗、双抗、ADC、CAR-T等多个类型的在研产品,为了更精准的筛选获益人群,开发Claudin 18.2的伴随诊断也成为相关药企和诊断企业关注的热点。在Claudin18.2检测方法和伴随诊断的开发中,抗体的选择值得进行深入讨论,比如针对Claudin还是特异针对Claudin 18.2?本文将在介绍Claudin 18.2靶点的基础上就抗体的选择做一些探讨。

Claudin18.2蛋白结构及功能特点

Claudin 18是Claudin(CLDN)蛋白家族中的重要成员,其特有的蛋白结构和功能特点使其成为极具潜力的成药靶点。Claudin18包含两个异构体:Claudin 18.1和Claudin 18.2。Claudin 18.1主要在肺部表达,而Claudin 18.2主要在胃上皮细胞中表达,Claudin蛋白是一类存在于上皮和内皮紧密连接中的整合素膜蛋白,是四次跨膜蛋白,包括四个跨膜结构(TM1-4)、细胞内N端和C末端以及两个细胞外环(ECL1和ECL2)。这种结构使得Claudin蛋白家族能够有效维持上皮细胞和内皮细胞的极性,从而有效调控细胞旁通透性和电导。

图片

Claudin 蛋白结构示意图

Claudin 18.2是研究最为清楚的Claudin家族蛋白。在正常组织中,Claudin18.2的表达具有高度组织特异性,仅在埋藏于胃粘膜上已分化的上皮细胞中表达,而正常组织中的单克隆抗体基本上检测不到。但是,恶性肿瘤的发生会导致紧密连接的破坏,使肿瘤细胞表面的 Claudin18.2表位暴露出来,成为特定的靶点。因此,理论上在胃癌(70%-80%),针对 Claudin18.2的治疗性抗体具有更大的抗癌潜力和更低的毒性。此外,在胰腺癌(60%)、食道癌(30%)中也经常观察到异常激活的 Claudin18.2。这也意味着,Claudin18.2蛋白能够成为被精准打击的对象。因此,针对Claudin18.2的治疗性抗体具有更大的抗癌潜力和更低的毒性。这在肿瘤靶向治疗领域极为理想,使得Claudin 18.2成为极具潜力的成药靶点。

靶向Claudin18.2药物开发情况

Claudin 18.2作为极具前景的肿瘤靶向治疗靶点,众多创新药企争相布局,成为必争之靶点高地。据不完全统计,国内外已有20多家药企布局了Claudin 18.2靶向药物的临床开发,包括Claudin 18.2单抗、双抗、ADC和CAR-T等药物。由于其在特定肿瘤组织中的高选择性和稳定表达,靶向Claudin 18.2的候选药物已然成为继HER-2靶向药物之后胃癌治疗的潜力替代方案。

Claudin 18.2药物开发信息

图片

为满足Claudin 18.2诊断抗体及抗体试剂的开发,ACROBiosystems百普赛斯重磅推出由百斯医学病理平台验证的适用于IHC的Claudin 18.2诊断抗体产品,具有充分的方法学建立和试剂开发验证数据,支持药物伴随诊断试剂盒的开发等应用。

产品优势

特异性强:无交叉反应性,可精准区分Claudin18.1和Claudin18.2;

定位准确:膜染色定位清晰准确,无非特异性染色;

灵敏度高:染色强度好,染色强弱梯度容易区分;

验证充分:胃癌,贲门癌,胰腺癌,结直肠癌适应症临床样本充分验证;

自主产权:产品全国产化,稳定供应、授权灵活;

服务支持:辅助验证服务,加速临床试验分析方法建立、试剂开发及转化注册服务。

产品列表

Claudin 18.2免疫组化抗体

点击列表即可查看产品详情

图片

Claudin 18.1,Claudin 18.2蛋白产品

点击列表即可查看产品详情

图片

验证数据

精准筛选获益人群是Claudin18.2药物临床成功的关键:对参加临床试验的患者进行Claudin18.2入组检测,并同步进行伴随诊断开发,是Claudin18.2药物临床试验中不可或缺的一环。目前,靶向Claudin 18.2的单抗、双抗,ADC和CAR-T疗法均以免疫组化检测(IHC)筛查肿瘤Claudin 18.2 阳性/高表达患者为基础。但是目前针对Claudin 18.2的检测方法并未统一,因Claudin18.2在胃癌组织中存在异质性表达,免疫组化检测需要增加染色、判读切片的数量,也对抗体质量提出了更高要求。

▶ Claudin 18 or Claudin 18.2

Claudin 18有两个异构体:Claudin 18.1和Claudin 18.2,蛋白序列高度同源,结构极其相似,仅在N端和第一个细胞外环(ECL1)部分约80个氨基酸残基(第一外显子)的序列中存在少量差异正常情况下,Claudin-18.1表达仅限于肺部,而Claudin-18.2的表达仅限于胃,诊断试剂能够精准的区分Claudin 18.1和Claudin 18.2是一个重要的指标。根据Claudin 18.2抗体免疫组织化学交叉反应实验,Claudin 18.2抗体与Claudin 18.1蛋白无任何交叉反应性染色结果,可证明其拥有良好的特异性。

图片

交叉反应性示例

靶向Claudin 18.2药物所匹配的检测需要能够特异性识别Claudin 18.2,才能实现精准筛选用药人群,并支持药物疗效的判断。

▶ 适应症肿瘤组织Claudin 18.2表达

相关研究表明,Claudin18.2可在胃癌、结肠癌、胰腺癌、卵巢癌等多种原发恶性肿瘤中异常表达。作为实体瘤泛癌种靶向Claudine18.2的药物,相匹配的检测抗体也可在多癌种特异性染色,这样才能够筛选适应症患者入组,药物加速获批。

图片

适应症肿瘤组织样本染色示例

▶ 适应症肿瘤组织Claudin 18.2染色标准

药物临床试验阶段,检测灵敏度高更有利于探索性阶段入组患者;染色强弱梯度较好,能够就cutoff进行充分探索。因此相应的抗体应具有效价高,膜染色定位清晰准确,染色强度好,染色强度梯度容易区分等性能。

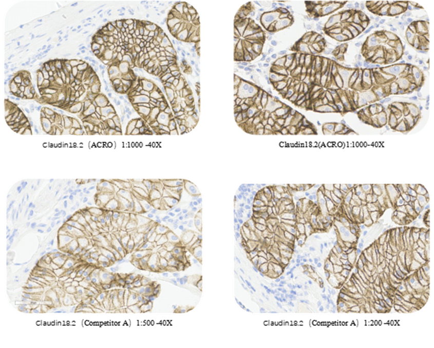
✍ ACRO抗体与Competitor A产品的抗体效价对比,第一排为 ACRO 产品数据,第二排为 Competitor A 产品数据。

图片

对比结果:如上图所示,上面第一张图显示ACRO免疫组化抗体染**况,下面的两张图为Competitor A染**况。通过对Claudin18.2正常胃组织染色,ACRO效价1:1000与Competitor A效价1:200着色强度相近。

✍ ACRO与Competitor A的染色强度对比,第一排为 ACRO 产品数据,第二、三排为 Competitor A产品数据。

图片

对比结果:如上图所示,对Claudin18.2胃癌组织染色,在稀释倍数明显高于Competitor A情况下,ACRO抗体产品的染色强度强于Competitor A。

▶ 适用平台验证数据

使用 Claudin-18.2一抗在Leica BOND-III和Dako link 48平台分别染色。

图片

使用Claudin-18.2一抗染色人正常胃组织样本,阳性细胞细胞质和/或细胞膜特异性阳性着色(染色强度≥1),无非特异性着色(染色强度<1),无背景染色(染色强度<1 ),不同平台的染色结果表明本产品适用性强,可灵活运用于多种检测平台,满足更多临床和科研需求。

更多免疫组化抗体热门产品

除Claudin 18.2免疫组化抗体外,ACROBiosystems还针对其他靶点推出了由ACRODiagnostic百斯医学病理平台验证的免疫组化抗体产品。

ACRO免疫组化抗体

点击列表即可查看产品详情

图片

ACROBiosystems百普赛斯全面助力组化验证及试剂盒开发需求,免疫组化抗体产品均通过充分方法学验证和试剂盒性能验证数据,整个生产流程全国产化,可稳定供应产品且灵活授权,并配以服务支持,全方位满足您的免疫组化验证及免疫组化试剂盒开发等应用需求!

>>>点击了解更多ACROBiosystemes免疫组化抗体产品信息

图片


ACROBiosystems

inquiry@acrobiosystems.com

15117918562

(备注:姓名+公司)

北京百普赛斯生物科技股份有限公司 商家主页

地 址: 北京经济技术开发区宏达北路8号5号楼4层

联系人: 占女士

电 话: 400-682-2521

传 真:

Email:order.cn@acrobiosystems.com

相关咨询
ADVERTISEMENT